您是否曾在手腕、足背或手指关节处,无意中发现一个不痛不痒、触感柔软却又略显突兀的“小包”?它悄然而至,时而明显,时而又隐匿不见——这,很可能是“腱鞘囊肿”。在中医理论中,它归属于“筋结”“筋瘤”的范畴。

简单来说,腱鞘囊肿就像是关节或肌腱旁形成的“小水球”,是一种常见的良性病变,内部包裹着浓稠、透明、类似果冻状的胶状液体。它可以发生于任何年龄段,尤其“青睐”15-40岁的青壮年女性。
为什么会发生腱鞘囊肿?
目前,腱鞘囊肿的确切病因尚不完全明确。一般认为,可能与关节或肌腱的过度使用有关,例如长时间操作电脑、频繁使用手机,或从事重复性的手工劳动。此外,关节或肌腱的轻微损伤,如不经意的扭伤或挫伤,也可能成为诱因。

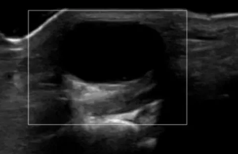
它有哪些表现?
典型外观:圆形或椭圆形的皮下隆起,表面光滑,触感软硬不一。
大小可变:囊肿体积可能随时间变化,部分可自行消失,但亦有复发的可能。
多数无症状:大多数腱鞘囊肿不痛不痒,仅影响外观,或伴有轻度酸胀感。若囊肿较大,压迫周围神经,则可能引起无力、麻木,少数情况下可能影响关节活动。
腱鞘囊肿的治疗方法?
手法挤压治疗:通过医生手法按压,将囊肿内的胶冻状液体挤入周围组织,使其逐渐吸收。对于病程较长的患者,由于囊肿包膜随时间逐渐增厚,手法往往难以奏效。
穿刺抽吸治疗:借助注射器对囊肿内的液体进行抽吸,虽创伤小,但由于仅清除了囊内液体,囊肿的包膜仍可能保留,因此复发率相对较高。
开放手术切除:通过外科手术直接将囊肿及其包膜完整切除,是较为彻底的处理手段,但创伤相对较大。
可视化针刀微创治疗:是一种在超声实时、动态引导下,利用特制“小针刀”进行操作,实现囊肿灭活与吸收的微创技术。

如何预防腱鞘囊肿?
腱鞘囊肿虽无法完全避免,但良好的生活习惯有助于降低发病风险。
劳逸结合:避免手腕、手指等关节长时间重复性劳作。
合理用力:运动或劳动时注意使用正确姿势,避免关节损伤。
适时休息:工作中定时休息,适当伸展和活动手腕。
强化肌力:适度进行手部及腕部肌肉力量训练。
温馨提示:腱鞘囊肿虽不是重大疾病,但若出现疼痛、麻木或影响关节活动等情况,建议及时就医,寻求专业诊治。
文 | 骨伤科 毛婷