近日,我院骨伤科接诊了一名因使用割草机不慎被铁钉刺伤的患者,科室团队成员迅速组织病例讨论,制定手术方案,通过膝关节镜下异物取出术,仅用30分钟成功将铁钉取出。
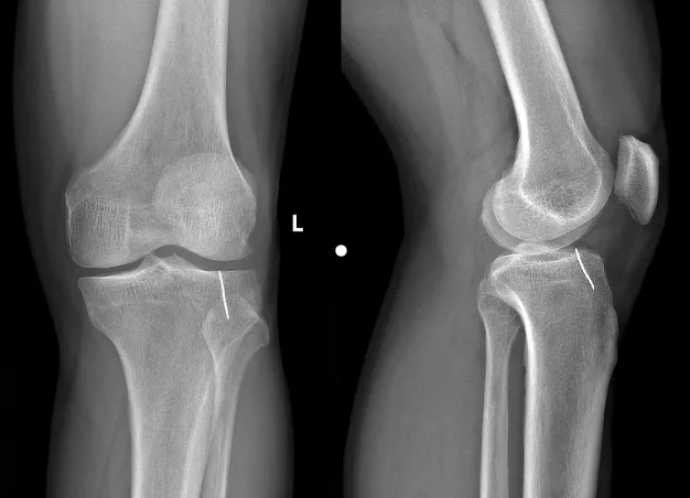
据患者回忆,事发时他正在家中操作割草机,突然感觉膝盖一阵刺痛,低头发现膝关节前下方被异物划开一道约2cm的伤口。随后他立即前往附近医院就诊,进行了常规清创包扎处理。本以为只是简单的皮外伤,没想到几天后,膝关节的疼痛不仅没有缓解,反而出现了明显的屈伸活动受限,就连走路都变得困难。通过X光检查发现:膝关节内竟然藏有金属异物,若不及时取出,可能引发关节感染、软骨损伤等严重后果。

金合主任医师结合影像学资料,详细询问病史后,安排患者住院治疗。在此过程中,完善了膝关节CT检查,准确锁定了异物位置——铁钉已嵌入胫骨,其中一端已进入关节腔。考虑到异物位置特殊,开放手术创伤大、恢复慢,科室团队经过评估、讨论,决定采用膝关节镜手术取出异物。

术中,曾俊主治医师在高清内镜的直视下,精准定位异物位置,通过两个1cm的微小切口,仅用30分钟就成功将这枚“肇事”的铁钉完整取出。术后,患者感觉膝关节疼痛明显减轻,第二天便能下床适当活动。
在此也提醒大家,受到异物损伤时,切勿轻视小的表面伤口,尤其在关节部位,需及时到医院进行相关检查,避免异物残留引发后续并发症。我院骨伤科始终致力于将微创技术应用于各类临床诊疗。通过细致的术前评估、扎实的手术技巧与详细的术后康复指导,为患者提供高效、安全的诊疗服务。
文 | 骨伤科 刘忠瀚